Фильтр
Установка виниров — это не просто косметическая процедура, а искусство, которое требует высокой квалификации и опыта
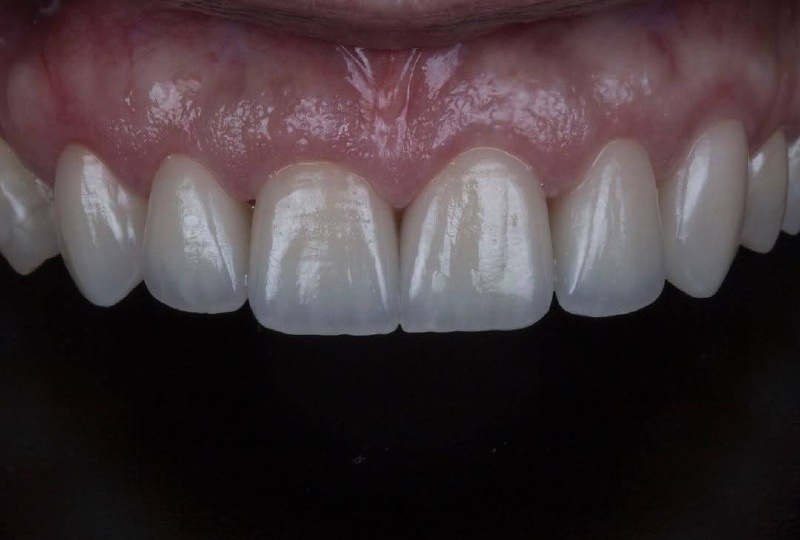
Важно понимать, что виниры устанавливаются только по показаниям, и каждый случай индивидуален. Врач должен учитывать множество факторов: форму и цвет зубов, анатомию полости рта и лица пациента, а также его личные предпочтения. Поэтому детальная консультация — это первый и один из самых важных шагов. На этом этапе специалист обсуждает ожидания пациента и предлагает рекомендации по дизайну виниров. 🔍 После консультации начинается тщательная подготовка зубов. Врач удаляет тонкий слой эмали, чтобы создать пространство для виниров. Это важный процесс, который требует аккуратности и профессионализма. ✨ Создание прозрачности и микрорельефа на поверхности виниров — один из ключевых аспектов работы. Эти детали придают зубам естественный вид, делая их более похожими на настоящие. Одним из главных преимуществ виниров является их способность трансформировать улыбку, придавая зубам привлекательный и естественный вид.
Установка виниров — это не просто косметическая процедура, а искусство, которое требует высокой квалификации и опыта
Показать еще
  • Класс
«Удалили зуб? Подумайте дважды, прежде чем отложить решение
«Удалили зуб? Подумайте дважды, прежде чем отложить решение!» После удаления зуба вы можете не испытывать боли, и рана зажила. Однако важно понимать, что откладывание решения о дальнейших действиях может привести к серьезным последствиям: ☑️ 1–3 месяца Кость, поддерживавшая удалённый зуб, начинает терять свою функциональность. Организм принимает решение: «Если зуб не используется — его необходимо устранить». Этот процесс резорбции происходит незаметно. ☑️ 3–6 месяцев Соседние зубы начинают наклоняться в образовавшееся пространство. Зуб напротив может выдвигаться. Изменения прикуса становятся необратимыми. ☑️ 1 год Потеря до 25% объёма кости. Для установки имплантата может потребоваться костная пересадка, что увеличивает время, затраты и риски. ☑️ 2–3 года Соседние зубы подвергаются перегрузке. Это может привести к их стиранию, образованию сколов и трещин. Также могут возникнуть проблемы с височно-нижнечелюстным суставом: щелчки, боль и головные боли. ☑️ 5+ лет Каскадный эффект: в
«Удалили зуб? Подумайте дважды, прежде чем отложить решение
Показать еще
  • Класс
Иногда зубам требуется временная защита, особенно в случаях, когда необходимо наблюдать за состоянием зуба или на этапе ортодонтического
Иногда зубам требуется временная защита, особенно в случаях, когда необходимо наблюдать за состоянием зуба или на этапе ортодонтического лечения. В таких ситуациях на помощь приходят 3D-напечатанные временные коронки. Они обеспечивают надежную поддержку и защиту зубов на длительный срок. Это особенно важно, если у нас есть сомнения по поводу дальнейшего прогноза состояния зуба. Временные коронки помогают предотвратить разрушение зуба, особенно если он без нерва и имеет тонкие стенки. Во время ортодонтического лечения зубы, которые будут подвергаться движению, также нуждаются в укреплении. Установка временных коронок обеспечивает необходимую стабильность и защиту, позволяя пациенту пройти курс лечения без лишних осложнений.
Иногда зубам требуется временная защита, особенно в случаях, когда необходимо наблюдать за состоянием зуба или на этапе ортодонтического
Показать еще
  • Класс
Зубные импланты: Главные секреты успешной имплантации
Зубные импланты: Главные секреты успешной имплантации ▎1️⃣ Подготовка к имплантации Успех процедуры начинается с правильной подготовки! Вот что нужно сделать: Системный подход: • Пройдите консультацию у терапевта для контроля хронических заболеваний (например, диабет, сердечно-сосудистые заболевания). • Сдайте необходимые анализы (общий анализ крови, коагулограмма, уровень глюкозы и инфекции — список предоставит врач). • Сообщите врачу о всех принимаемых лекарствах, аллергиях и перенесенных заболеваниях. • Постарайтесь бросить курить за две недели до операции (лучше навсегда!). • Настройтесь психологически — процесс может занять время. Местный подход: • Санация полости рта обязательна! Лечите все зубы и десны (кариес, пульпит, пародонтит). • Проведите профессиональную гигиену полости рта • Удалите разрушенные зубы или корни. • Компьютерная томография челюстей поможет оценить объем кости и необходимость костной пластики. ▎2️⃣ Уход после установки имплантов Качественный уход за имп
Зубные импланты: Главные секреты успешной имплантации
Показать еще
  • Класс
🔊 Щелчки и хруст в суставе: что стоит за этими звуками
🔊 Щелчки и хруст в суставе: что стоит за этими звуками? ⤵️ Замечали ли вы у себя, что ваш челюстной сустав издает странные звуки? Эти щелчки и хруст могут указывать на проблемы с височно-нижнечелюстным суставом (ВНЧС), который находится в непосредственной близости к вашему уху. 💡 Дисфункция ВНЧС — это не просто каприз вашего организма. Это состояние, возникающее из-за нарушения слаженной работы сустава, которое может быть вызвано неправильным прикусом, несоответствием элементов ВНЧС или дисфункцией мышц. Но это не все! Проблемы с ВНЧС могут сопровождаться целым спектром неприятных симптомов: ✔️ Постоянная боль в голове, шее и висках; ✔️ Трудности при открытии рта; ✔️ Дискомфорт во время еды; ✔️ Шумы и звон в ушах; ✔️ Храп, который может мешать не только вам, но и вашим близким; ✔️ Нарушения жевания и глотания. 🩺 Если вы заметили у себя подобные симптомы, не стоит откладывать визит к врачу. Специалист проведет тщательное обследование: пальпацию суставов, оценит подвижность нижне
🔊 Щелчки и хруст в суставе: что стоит за этими звуками
Показать еще
  • Класс
Почему у одних людей зубной камень образуется быстрее, чем у других
Почему у одних людей зубной камень образуется быстрее, чем у других? Ответ кроется в нескольких ключевых аспектах. 🔍 Нарушение механического удаления биоплёнки (materia alba) Это первый и самый важный фактор. Если налёт не удаляется должным образом, он становится идеальной основой для минерализации. Даже при соблюдении хорошей гигиены, пациенты могут допускать ошибки: • Не используют ершики подходящего диаметра или вообще игнорируют их. • Работают электрощёткой не по линии десны, а по коронкам. • Не уделяют внимания шейке зубов с помощью монопучковой щётки. • Не знают, что налёт может минерализоваться всего за 12–72 часа, особенно при повышенном pH. 📌 Пример: даже если пациент использует ершики и щётки регулярно, но не достигает необходимого контакта с зубами, эффективность ухода стремится к нулю. 🔬 Биохимический состав слюны и десневой жидкости Если гигиена на высшем уровне, но зубной камень продолжает появляться, стоит обратить внимание на внутреннюю среду: • 🔺 Избыток фо
Почему у одних людей зубной камень образуется быстрее, чем у других
Показать еще
  • Класс
Почему у одних людей зубной камень образуется быстрее, чем у других
Почему у одних людей зубной камень образуется быстрее, чем у других? Ответ кроется в нескольких ключевых аспектах. 🔍 Нарушение механического удаления биоплёнки (materia alba) Это первый и самый важный фактор. Если налёт не удаляется должным образом, он становится идеальной основой для минерализации. Даже при соблюдении хорошей гигиены, пациенты могут допускать ошибки: • Не используют ершики подходящего диаметра или вообще игнорируют их. • Работают электрощёткой не по линии десны, а по коронкам. • Не уделяют внимания шейке зубов с помощью монопучковой щётки. • Не знают, что налёт может минерализоваться всего за 12–72 часа, особенно при повышенном pH. 📌 Пример: даже если пациент использует ершики и щётки регулярно, но не достигает необходимого контакта с зубами, эффективность ухода стремится к нулю. 🔬 Биохимический состав слюны и десневой жидкости Если гигиена на высшем уровне, но зубной камень продолжает появляться, стоит обратить внимание на внутреннюю среду: • 🔺 Избыток фо
Почему у одних людей зубной камень образуется быстрее, чем у других
Показать еще
  • Класс
🎄🎉Новогодние праздники — это волшебное время семейного уюта, теплых и душевных встреч за чашечкой чая или бокалом красного вина, а также
🎄🎉Новогодние праздники — это волшебное время семейного уюта, теплых и душевных встреч за чашечкой чая или бокалом красного вина, а также абсолютное ничегонеделание. Режим, в котором многие из нас проводят эти дни, не может не отразиться на состоянии всего организма в целом и полости рта в частности☝️. ⠀ После новогодних🎄 праздников пациенты чаще всего жалуются на: ✔️ потемнение эмали; ✔️ повышенную чувствительность зубов; ✔️ запах изо рта; ✔️ воспалённые десны. ⠀ Профилактические меры для защиты зубов в праздники⤵️ ▪️Регулярно чистить зубы; ▪️Потреблять умеренное количество сладкого; ▪️После мясных и рыбных блюд обязательно использовать зубную нить; ▪️Пользоваться ополаскивателями для полости рта с антибактериальным эффектом; ▪️Ни в коем случае не открывать бутылки зубами; ▪️Записаться на консультацию к стоматологу. Скорее всего, ваши зубы и десны нуждаются в профессиональной гигиене полости рта . Она избавит их от налёта и камня, а вы избежите массу осложнений. ▪️Пройти ку
🎄🎉Новогодние праздники — это волшебное время семейного уюта, теплых и душевных встреч за чашечкой чая или бокалом красного вина, а также
Показать еще
  • Класс
Показать ещё